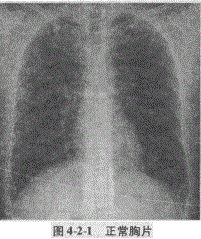
正常胸部正位片
正确答案及解析
正确答案
解析
见图4-2-1,阅片注意以下内容。


1.肺
(1)肺野:充满气体的两肺在胸片上表现为均匀一致较透明的区域称为肺野。分别在第2、4前肋下缘引一水平线,将肺部分为上、中、下三野。分别将两侧肺纵行分为三等分,即将肺部分为内、中、外三带,见图4.2-2。
(2)肺叶、肺段、肺小叶:肺叶由叶间胸膜分隔而成,右肺分为上、中、下三叶,左肺分为上、下两叶。肺叶与肺野概念不同,肺叶相当大的部分前后重叠,如右肺中野的病变可能位于右肺上叶,也可能位于右肺下叶。肺叶由2~5个肺段组成,通常右肺有10个肺段,左肺有8个肺段。肺段由许多肺小叶组成,肺小叶是肺组织的最小单位,每个小叶中部有小叶支气管及小叶动脉进入。
(3)肺门:肺门影是肺动脉、肺静脉、支气管及淋巴组织的总和投影。位于两肺中野内带,通常左肺门较右侧高1~2cm。
(4)肺纹理:在充满气体的肺野,可见自肺门向外呈放射分布的树枝状影,称为肺纹理。肺纹理由肺动脉、肺静脉组成,其中主要是肺动脉分支,另外,支气管、淋巴管及少量间质组织也参与肺纹理的形成。
(5)肺实质与肺间质:肺组织由肺实质与肺间质组成。肺实质指具有气体交换功能的含气间隙及结构,包括肺泡管、肺泡囊、肺泡及肺泡壁。肺间质指肺的结缔组织组成的支架和间隙,包括肺泡间隔、小叶间隔、支气管及血管的周围组织。
2.纵隔:纵隔位于胸骨之后、胸椎之前,介于两肺之间,上至胸廓入口,下达膈,两侧为纵隔胸膜和肺门。主要构成有心脏、大血管、气管、支气管、食管、淋巴组织、神经、脂肪及胸腺等。X线片仅能显示气管、大支气管及纵隔轮廓。
3.胸膜:胸膜分为脏层与壁层,两层间为胸膜腔。正常胸膜只在胸膜返折处或叶间胸膜走行与X线平行时才显影,一般不显影。
4.膈:一般位于第9~10后肋水平,右侧略高,呈圆顶状。与胸壁和心脏分别构成肋膈角和心膈角。
5.胸廓:胸廓包括骨骼和软组织,正常时胸廓两侧对称。骨骼可以显示肋骨、锁骨、肩胛骨、部分胸骨和胸椎;软组织能显示胸锁乳突肌、锁骨上皮肤皱褶、胸大肌、女性乳房及乳头等。
你可能感兴趣的试题
治疗要获得病人的知情同意,其实质是
-
- A.尊重患者自主性
- B.尊重患者社会地位
- C.尊重患者人格尊严
- D.患者不会作出错误决定
- E.患者提出的要求总是合理的
- 查看答案
申请输血时核准签字的是
-
- A.主任医师
- B.经治医师
- C.科室负责人
- D.副主任医师
- E.主治医师
- 查看答案
(1999年真题)属于医师执业义务的是
-
- A.医师应当使用经国家有关部门批准使用的药品
- B.医师在执业活动中,应当遵守法律、法规,遵守技术操作规范
- C.对医学专业技术有重大突破,作出显著贡献的医师,应当给予表彰或者奖励
- D.对考核不合格的医师,可以责令其接受培训和继续医学教育
- E.医师在执业活动中,人格尊严、人身安全不受侵犯
- 查看答案
普东区卫生局接报后,在本辖区截获一车未经检疫的肉类制品。现场调查资料显示,这批食品购自广宁县某食品厂,拟运往普城市销售,已经途径浦北、普济二县,该厂还存有2000多共建未经检疫猪肉。根据《食品卫生法》规定,对该厂尚存的未经检疫猪肉采取控制措施的卫生行政部门应是
-
- A.普东区卫生局
- B.广宁县卫生局
- C.普城市卫生局
- D.浦北县卫生局
- E.普济县卫生局
- 查看答案
《母婴保健法》规定,对于依法接受终止妊娠或者结扎手术的,应当给予
-
- A.有偿服务
- B.免费服务
- C.酌情收费服务
- D.酌情减半收费服务
- E.酌情免费服务
- 查看答案