气胸
正确答案及解析
正确答案
解析
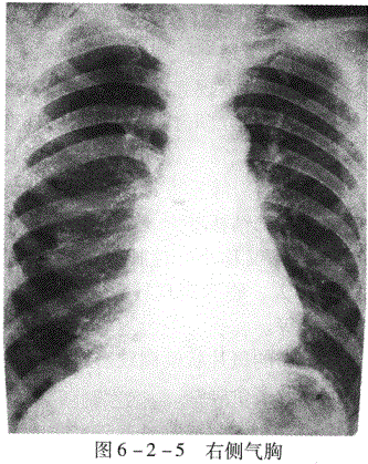
1.气胸(6-2-5) 空气进入胸腔则形成气胸。空气进入胸腔的途径:壁层胸膜破
裂,脏层胸膜破裂。X线表现为肺向肺门方向压缩,其与胸壁间出现透明的含气区,其内不见肺纹理,纵隔向健侧移位,患侧膈下降,肋间隙增宽。健侧肺可有代偿性肺气肿。

青年男性,突发胸痛4小时。胸像示右侧肋间隙增宽,右肺向肺门方向压缩,其与胸壁间出现透明的含气区,其内不见肺纹理。
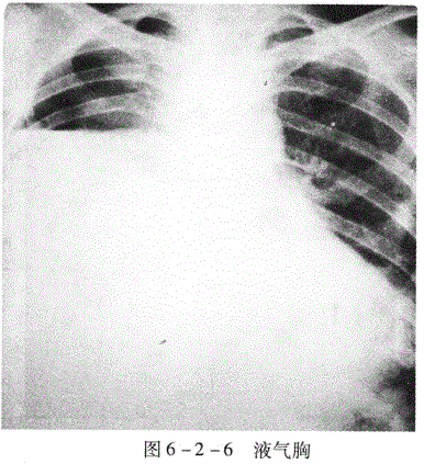
2.液气胸(图6-2-6)胸腔内液体与气体并存为液气胸。胸立位片表现为横贯胸
腔的液面,液面上方为空气及压缩的肺。气体较少时,则只见液面。

患者,男性,32岁,外伤后胸痛憋气。胸像示右侧横贯胸腔的液面,在液面上方右肺向肺门方向压缩,其与胸壁问出现透明的含气区,其内不见肺纹理,纵隔左移。
你可能感兴趣的试题
治疗要获得病人的知情同意,其实质是
-
- A.尊重患者自主性
- B.尊重患者社会地位
- C.尊重患者人格尊严
- D.患者不会作出错误决定
- E.患者提出的要求总是合理的
- 查看答案
申请输血时核准签字的是
-
- A.主任医师
- B.经治医师
- C.科室负责人
- D.副主任医师
- E.主治医师
- 查看答案
(1999年真题)属于医师执业义务的是
-
- A.医师应当使用经国家有关部门批准使用的药品
- B.医师在执业活动中,应当遵守法律、法规,遵守技术操作规范
- C.对医学专业技术有重大突破,作出显著贡献的医师,应当给予表彰或者奖励
- D.对考核不合格的医师,可以责令其接受培训和继续医学教育
- E.医师在执业活动中,人格尊严、人身安全不受侵犯
- 查看答案
普东区卫生局接报后,在本辖区截获一车未经检疫的肉类制品。现场调查资料显示,这批食品购自广宁县某食品厂,拟运往普城市销售,已经途径浦北、普济二县,该厂还存有2000多共建未经检疫猪肉。根据《食品卫生法》规定,对该厂尚存的未经检疫猪肉采取控制措施的卫生行政部门应是
-
- A.普东区卫生局
- B.广宁县卫生局
- C.普城市卫生局
- D.浦北县卫生局
- E.普济县卫生局
- 查看答案
《母婴保健法》规定,对于依法接受终止妊娠或者结扎手术的,应当给予
-
- A.有偿服务
- B.免费服务
- C.酌情收费服务
- D.酌情减半收费服务
- E.酌情免费服务
- 查看答案