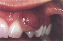
妊娠瘤的临床表现是 ( )

- A.以下前牙区唇面龈乳头多见
- B.多发生于多个牙的牙间乳头
- C.疼痛明显
- D.生长慢,质地坚韧
- E.妊娠期不能手术切除妊娠瘤
正确答案及解析
正确答案
A
解析
暂无解析
你可能感兴趣的试题
骨折愈合的第三期是
-
- A.血肿机化演进期
- B.原始骨痂形成期
- C.骨痂改造塑形期
- D.膜内化骨吸收期
- E.软骨化骨吸收期
- 查看答案
含氟牙膏有明显的防龋效果。含氟牙膏在世界范围的广泛应用是使龋病患病率出现大幅度下降的原因之一。
-
- A.单氟磷酸钠
- B.氟化亚锡
- C.氟化胺
- D.氟化钙
- 查看答案
患者,男性,32岁,右上后牙持续胀痛不能咬物,无冷热刺激痛病史。检查发现右上第二磨牙远中牙龈红肿,探诊出血。第三磨牙伸长,无对颌牙。
-
- A.切开引流,局部冲洗上药,急性炎症消退后牙周治疗
- B.彻底清洁局部,冲洗上药
- C.彻底清洁局部,冲洗上药,调整咬合
- D.彻底清洁局部,冲洗上药,炎症消退后拔除第三磨牙
- E.彻底清洁局部,冲洗上药,及时修复对颌牙
- 查看答案
患者,男性,32岁,右上后牙持续胀痛不能咬物,无冷热刺激痛病史。检查发现右上第二磨牙远中牙龈红肿,探诊出血。第三磨牙伸长,无对颌牙。
-
- A.食物嵌塞
- B.<img src='http://tp.mxqe.com/data/558/9299163_0.gif' alt='口腔正畸357,章节练习,基础复习,主治医师口腔正畸357押题' title='口腔正畸357,章节练习,基础复习,主治医师口腔正畸357押题'>创伤
- C.牙石
- D.口腔卫生不良
- E.不良剔牙习惯
- 查看答案
患者,男性,32岁,右上后牙持续胀痛不能咬物,无冷热刺激痛病史。检查发现右上第二磨牙远中牙龈红肿,探诊出血。第三磨牙伸长,无对颌牙。
-
- A.冠周炎
- B.牙间乳头炎
- C.急性牙周脓肿
- D.龈缘炎
- E.<img src='http://tp.mxqe.com/data/558/9299162_0.gif' alt='口腔正畸357,章节练习,基础复习,主治医师口腔正畸357押题' title='口腔正畸357,章节练习,基础复习,主治医师口腔正畸357押题'>创伤
- 查看答案